社区应用 最新帖子 精华区 社区服务 会员列表 统计排行
  • 815阅读
  • 11回复

[分享]餐饮业油烟排放新标准

楼层直达
级别: 茶馆馆主
发帖
660862
飞翔币
227136
威望
4036
飞扬币
3302133
信誉值
0


导言
2013年上海市环保局组织研究《上海市餐饮业油烟排放标准》(DB 31/844-2014)提供了技术支撑。
餐饮油烟定义
按照国家相关标准(GB18483-2001)定义,餐饮油烟是指:食物烹饪、加工过程中挥发的油脂、有机质及其加热分解或裂解产物。
餐饮油烟中污染物还有:异味,PM2.5和VOCs(臭氧前体物)。
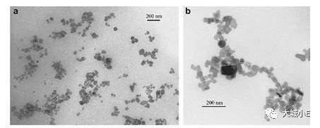
烟油粒径
借助显微镜观察,可以发现烹饪期间散发的餐饮油烟为直径约30纳米超细颗粒构成的具有多个分支的链状物,如下图所示。

油烟在显微镜下粒径示意图
【摘自:G.Buonanno.Particle emission factors during cooking activities[J]. Atmospheric Environment. 2009, 43: 3235】
PM2.5浓度
餐饮油烟中PM2.5的排放浓度为40-2190μg/m3,其中快餐和中餐的细颗粒物浓度相对较高,如下图所示。

某地餐饮油烟排放PM2.5浓度示意图
【摘自:Christine Loh. Study on Profiles of Cooking Fumes in Hong Kong Final Report, Revised 8 November 2006.】
VOCs浓度
餐饮油烟中VOCs的排放浓度为80-1660μg/m3,其中中餐的VOCs浓度相对较高,如下图所示。

某地餐饮油烟排放VOCs浓度示意图
【摘自:Christine Loh. Study on Profiles of Cooking Fumes in Hong Kong Final Report, Revised 8 November 2006.】
VOCs组份
餐饮油烟中VOCs组份随餐饮类型不同而有所不同,如西餐主要为烷烃、中餐主要为炔烃、快餐主要为烷烃和芳香烃,职工食堂芳烷烃、烯烃、炔烃和芳香烃较为平均,见下图。

某地餐饮油烟排放VOCs组份特征示意图
【摘自:Christine Loh. Study on Profiles of Cooking Fumes in Hong Kong Final Report, Revised 8 November 2006.】
影响因素
(1) 食物
在相同烹饪条件下,脂肪含量高的培根产生的颗粒物最大,如图所示。

烹饪不同食物产生颗粒物的比较
【摘自:G.Buonanno. Particle emission factors during cooking activities[J]. Atmospheric Environment. 2009, 43: 3235】
(2) 烹饪油
在相同的烹饪条件下,使用燃气炉油炸50克薯条,橄榄油产生的颗粒物最多,葵花籽油产生的颗粒物最少,如表所示。
常见烹饪油的油烟排放因子 (mg/min)

【摘自:G.Buonanno. Particle emission factors during cooking activities[J]. Atmospheric Environment. 2009, 43: 3235】
(3) 烹饪温度
在相同的烹饪条件下,烧烤50克培根,高温下产生的颗粒物比较大,如表所示。

【摘自:G.Buonanno. Particle emission factors during cookingactivities[J]. Atmospheric Environment. 2009, 43: 3235】
(4) 烹饪方式
油炸、煎炒所产生的VOCs相对较大,而蒸煮产生的VOCs较小,见下图。

不同烹饪方式对VOCs产生的影响
【摘自:Christine Loh. Study on Profiles of CookingFumes in Hong Kong Final Report, Revised 8 November 2006.】
(5) 燃料
使用城市煤气与使用LPG,在烹饪食物、厨师、时间、菜肴均相同的情况下,VOCs组分具有明显的差异,见下图。

居民厨房不同燃料的VOCs排放成分特征比较
【摘自:Christine Loh. Study on Profiles of CookingFumes in Hong Kong Final Report, Revised 8 November 2006.】
健康及环境危害
餐饮油烟中含有的有害物质,对人体的健康造成一定的影响;餐饮油烟对空气质量及灰霾天气可能有一定贡献作用,对周边生活环境质量也可能存在直接的影响。


 
级别: 超级版主
发帖
916333
飞翔币
264224
威望
224908
飞扬币
2807309
信誉值
0

只看该作者 1 发表于: 2017-07-04
来看一下
级别: 超级版主
发帖
916333
飞翔币
264224
威望
224908
飞扬币
2807309
信誉值
0

只看该作者 2 发表于: 2017-07-04
也就看看
级别: 超级版主
发帖
916333
飞翔币
264224
威望
224908
飞扬币
2807309
信誉值
0

只看该作者 3 发表于: 2017-07-04
不错,了解了
srwam 
级别: 超级版主
发帖
754391
飞翔币
1835
威望
12876502
飞扬币
15696
信誉值
0

只看该作者 4 发表于: 2017-07-04
来看看
srwam 
级别: 超级版主
发帖
754391
飞翔币
1835
威望
12876502
飞扬币
15696
信誉值
0

只看该作者 5 发表于: 2017-07-04
应该从严
z3960 
级别: FLY版主
发帖
842804
飞翔币
121321
威望
325892
飞扬币
3798009
信誉值
8

只看该作者 6 发表于: 2017-07-05
回 楼主(爱我中华) 的帖子
看看餐饮业油烟排放新标准
我不喜欢说话却每天说最多的话,我不喜欢笑却总笑个不停,身边的每个人都说我的生活好快乐,于是我也就认为自己真的快乐。可是为什么我会在一大群朋友中突然地就沉默,为什么在人群中看到个相似的背影就难过,看见秋天树木疯狂地掉叶子我就忘记了说话,看见天色渐晚路上暖黄色的灯火就忘记了自己原来的方向。
z3960 
级别: FLY版主
发帖
842804
飞翔币
121321
威望
325892
飞扬币
3798009
信誉值
8

只看该作者 7 发表于: 2017-07-05
引用
引用第5楼srwam于2017-07-04 19:59发表的  :
应该从严

有道理呀
我不喜欢说话却每天说最多的话,我不喜欢笑却总笑个不停,身边的每个人都说我的生活好快乐,于是我也就认为自己真的快乐。可是为什么我会在一大群朋友中突然地就沉默,为什么在人群中看到个相似的背影就难过,看见秋天树木疯狂地掉叶子我就忘记了说话,看见天色渐晚路上暖黄色的灯火就忘记了自己原来的方向。
级别: 终身优会
发帖
256440
飞翔币
48432
威望
39522
飞扬币
914473
信誉值
30

只看该作者 8 发表于: 2017-07-05
监管是很难的。
级别: 终身优会
发帖
469554
飞翔币
36789
威望
7137
飞扬币
1633375
信誉值
0

只看该作者 9 发表于: 2017-07-05
进来看看了
级别: 终身优会
发帖
469554
飞翔币
36789
威望
7137
飞扬币
1633375
信誉值
0

只看该作者 10 发表于: 2017-07-05
来了解一下餐饮业油烟排放新标准
级别: 终身优会
发帖
469554
飞翔币
36789
威望
7137
飞扬币
1633375
信誉值
0

只看该作者 11 发表于: 2017-07-05
餐饮油烟中含有的有害物质,对人体的健康造成一定的影响,对周边生活环境质量也可能存在直接的影响