社区应用 最新帖子 精华区 社区服务 会员列表 统计排行
  • 587阅读
  • 7回复

[分享]女子怀孕后腹痛精神错乱 原是近亲结婚致吸血鬼症

楼层直达
级别: 茶馆馆主
发帖
662250
飞翔币
227176
威望
4036
飞扬币
3308692
信誉值
0


萧山一位 24 岁的护士,怀孕一个多月突发中风、腹痛,腹痛还会在腹部四处 " 游走 ",中风手术之后对症治疗,用止痛药,腹痛没有缓解,甚至还出现举止异常、精神错乱。
吃坏了?受刺激了?种种猜测之后,医生将她的尿液放在阳光下曝晒 4 个小时,尿液变成咖啡色,确认为卟啉病,这又叫吸血鬼症,患者惧怕阳光,曾有医生认为靠喝人血治病。

最近,浙江大学医学院附属邵逸夫医院重症医学科(简称 ICU)周建仓、王峰和金丹医生将这个病例的诊疗过程进行整理分析,即将发表在专业期刊中华医学杂志上。
钱报记者得知之后,也想和大家讲讲这个故事,一个是病例实在太奇特,过去几乎只存在教科书上,另一个想给医生点个赞,他们鉴别诊治的过程就像侦探破案。
孕妇突发脑中风,伴有游走性腹痛
用药无法缓解,病因存疑
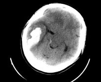
时间要回到去年 4 月,王女士(化名)从萧山转院到邵逸夫医院庆春院区急诊,送来的时候,人已经昏迷不醒,头颅 CT 诊断颅内出血,也就是脑中风。
王峰医生描述,女患者长相清秀,身高 1 米 6,身材不是很胖,年纪也很轻,照理来说不是中风的高危人群。当时,一系列检查之后诊断明确,颅内出血 30ml 左右,情况紧急,由神经外科立即为她做了开颅手术,清除血肿。

患者右侧顶枕叶脑出血
随后,王女士被送到 ICU 治疗观察,2 天之后苏醒,最初意识清醒,但很快,一系列不正常的表现及行为逐渐出现。
一个是间歇性的性情改变。她会一下子安静,四处张望,一下子情绪激动,用力敲打床铺,嘴里不断嘟囔,甚至大喊,但又听不清在说什么。
ICU 的医护们看着很心疼,毕竟这是一个怀孕未满 2 个月的孕妇,因为突发脑中风,接受了 CT 检查及手术,肚子里的孩子也保不住了,可能精神受到强烈刺激。但同时,他们又对王女士举止异常、精神错乱的表现心存疑虑。
另一个是不断叫嚷着腹痛,属于腹绞痛,一阵一阵发作,有时痛在上方,有时在下方,左右两边也会发作,腹痛仿佛在 " 游走 ",医生用静脉注射了止痛药,仍不能缓解。

发病前 9 天进食过海鲜
之前怀孕也出现举止异常、精神错乱
这么不典型的表现,尤其是游走性腹痛,过往非常少见,怎么解决?王女士的主管医生周建仓、王峰、金丹,决定 " 兵分两路 " 寻找病因。
这一头,请消化内科於亮亮主任医师做胃肠镜,排查王女士是否有胆囊炎或其他胃肠道疾病。令人遗憾的是,胃肠镜及腹部 CT 均未发现明显异常。
另一头,他们找来家属谈话,想再仔细问问,从患者发病前的饮食、生活习惯上寻找蛛丝马迹。陪同王女士住院治疗的是她的母亲和老公,两人提供了两个线索。
在发病前 9 天,王女士进食过海鲜,主要是贝壳和虾,当天晚上出现下腹部绞痛,约半个小时发作一次,同时还有呕吐和腹泻。
王女士在萧山一家医院做护士,自己有较强的医学常识,第二天一上班就在单位看了专家门诊,挂了几天盐水,后来还住了院。腹痛到了第 7 天,她正在病床上和老公聊天,突然中风昏迷,由于发病又急又凶,被立即转到邵逸夫医院。
老公说起,这是王女士第二次怀孕,约一年前,她有过一次宫外孕,怀孕后曾有幻觉,比如独自在角落自言自语,或是提及门外有人走过,眼前有鸟飞过等,表述很奇怪。
吃海鲜吃坏了的话,应该是胃肠炎,腹痛也不会 " 游走 " 呀!两次怀孕,都出现精神异常,如何解释?诊断由此陷入了僵局。
多学科会诊,怀疑是吸血鬼症
美剧里上演的戏剧化情节,在现实中出现
面对多重疑点,经医务科协调,ICU 主任潘孔寒组织了邵逸夫医院多学科讨论,神经外科、神经内科、消化内科、普外科、ICU、内分泌科、精神科全来了。一个会议室,乌压压坐了一大群专家,大家各抒己见。

" 会不会还是胃肠道方面的毛病,比较罕见的类型?"" 精神状况要再进一步诊断?" 激烈讨论过程中,一个最新的消息成了转折点——会诊前一天晚上,王女士的母亲无意间提起一个细节,女儿从小到大特别怕晒太阳,晴天出门不打伞的话,很容易被晒伤,出现水泡或瘙痒,尤其折磨人。
医学上把这种表现称为光敏感。光敏感、精神异常、游走性腹痛,将这三个特点结合起来,会不会是卟啉病?
大家面面相觑。这病几乎只存在于教科书上,现实中从来没有遇到过。卟啉病又叫吸血鬼症,病人惧怕阳光,很罕见,发病率仅 5 万分之一甚至更低,女性多于男性。目前,全世界卟啉症患者不超过 500 位。
《实习医生格蕾》中曾有该病病人被误诊为胆囊炎而做了手术,最后是一位实习医生发现了红色尿的线索而诊断。《夜班医生》中的一位患者被当作精神病误诊了很久,最终在导尿管引流袋发现了红色尿而诊断明确。
难道是美剧中的情节,在现实中真实上演了?
尿液曝晒之后," 真凶 " 浮现
近亲结婚生子,女儿出现基因变异
一个为求真相的实验在 ICU 上演。医生为王女士取了 2 小杯尿液,一杯放在病床边,一杯放在窗台上,让阳光曝晒,再与正常人的尿液进行对比。经过 4 个小时,被曝晒的尿液变成了咖啡色。" 这样一个实验初步证明了病因应该是卟啉病,随后的基因检测发现患者存在基因位点缺失,证明了这一结论。" 王峰医生说。
卟啉病是一种常染色体显性遗传疾病,往往存在家族史。当医生和王女士的家人传达这一信息之后,过去一向积极、迫切关心女儿病情的母亲,突然沉默不语。
经过许久的沉默与犹豫,母亲表示,自己与丈夫是表兄妹,属于近亲结婚,就生了这么一个女儿,实在没想到女儿会出现基因变异。
故事发展到这里,真相大白,一系列病情与症状都说得通了。
王峰医生解释,卟啉病的诱因包括月经、妊娠、药物(比如巴比妥类、磺胺类、雌激素等)、热量摄入不足及感染等。" 王女士这次发病,以及上一次怀孕出现的精神异常,怀疑都可能与怀孕后体内雌激素分泌过多有关。"
病因找到对症治疗,加之结束妊娠并进行清宫手术,王女士的病情很快得到了控制,仅过两天就从 ICU 转到普通病房,很快顺利出院。
前两天,邵逸夫医院 ICU 护士对患者进行出院回访。王女士在电话那头感慨,听完家人讲述整个诊疗过程,太像侦探破案了,感谢医生让自己重生。
知道多一点
1. 卟啉病为什么叫做吸血鬼症?
卟啉是一种光敏色素,大多数卟啉在避光中呈良性,不会对身体造成生命危害,一旦接触阳光会转化成危险的毒素,如果皮肤受到影响,日光下会发生水泡或瘙痒。只能生活在黑暗世界里,惧怕阳光,这可能是吸血鬼故事的起源。

最早把吸血鬼和血卟啉病联系在一起是加拿大生化学家大卫 · 道尔芬,他看到治疗血卟啉病时需要静脉输入血红素,便推论患者大量喝血也能达到输血的效果,从而缓解症状。
当然,这已经被医生辟谣了。虽然输血是抢救重型血卟啉病患者的有效手段,但喝血治疗没有医学依据,一些迟发性皮肤型血卟啉病甚至还需要定期从静脉放血以减轻症状。
2. 卟啉病有什么症状与特点?
卟啉病临床表现多样,主要包括腹部症状、神经精神症状和皮肤损害三大类,严重者可致呼吸肌麻痹而死亡,机制尚不完全清楚,可能是与肝脏产生的过量氨基 - 酮戊酸和卟胆原所带来的毒性作用有关。
发作时症状可持续数小时,数天或数周或更长。腹痛是最常见、最早的症状,85%~95% 患者在急性发作时出现腹痛,多数剧烈、持续、位置不固定,有时伴有便秘、腹胀、呕吐等类似急性肠梗阻表现。
另外,治疗急性卟啉病会要求患者摄入高糖饮食,减少卟啉生成,防止卟啉病发作。
3. 卟啉病如何早发现早治疗?
急性间歇性卟啉病为常染色体显性遗传,直系亲属有 50% 的概率携带有该变异,继而有 50% 的概率将疑似致病基因传给其子女,基因检测可明确突变基因并分型,不但患者可以及时精准治疗,而且高危家族成员也可以常规筛查,给予相应的遗传学咨询。
对于临床上不好解释的腹痛,伴有精神症状及神经系统症状体征,且同时有贫血、肝功能异常、畏光、皮肤损害时,应警惕血卟啉病的可能性。暴晒后颜色加深实验简便易行,可在短时间内提供重要筛查信息。
关键词: bot 提供
 
srwam 
级别: 超级版主
发帖
755212
飞翔币
1859
威望
12876502
飞扬币
18995
信誉值
0

只看该作者 1 发表于: 2019-05-05
来看看
srwam 
级别: 超级版主
发帖
755212
飞翔币
1859
威望
12876502
飞扬币
18995
信誉值
0

只看该作者 2 发表于: 2019-05-05
也是无语
级别: 超级版主
发帖
916980
飞翔币
264288
威望
224908
飞扬币
2809799
信誉值
0

只看该作者 3 发表于: 2019-05-06
来看一下
级别: 超级版主
发帖
916980
飞翔币
264288
威望
224908
飞扬币
2809799
信誉值
0

只看该作者 4 发表于: 2019-05-06
也就看看
级别: 超级版主
发帖
916980
飞翔币
264288
威望
224908
飞扬币
2809799
信誉值
0

只看该作者 5 发表于: 2019-05-06
不错,了解了
z3960 
级别: FLY版主
发帖
843423
飞翔币
121436
威望
325892
飞扬币
3801011
信誉值
8

只看该作者 6 发表于: 2019-05-06
看看一下
我不喜欢说话却每天说最多的话,我不喜欢笑却总笑个不停,身边的每个人都说我的生活好快乐,于是我也就认为自己真的快乐。可是为什么我会在一大群朋友中突然地就沉默,为什么在人群中看到个相似的背影就难过,看见秋天树木疯狂地掉叶子我就忘记了说话,看见天色渐晚路上暖黄色的灯火就忘记了自己原来的方向。
z3960 
级别: FLY版主
发帖
843423
飞翔币
121436
威望
325892
飞扬币
3801011
信誉值
8

只看该作者 7 发表于: 2019-05-06
注意一下情况
我不喜欢说话却每天说最多的话,我不喜欢笑却总笑个不停,身边的每个人都说我的生活好快乐,于是我也就认为自己真的快乐。可是为什么我会在一大群朋友中突然地就沉默,为什么在人群中看到个相似的背影就难过,看见秋天树木疯狂地掉叶子我就忘记了说话,看见天色渐晚路上暖黄色的灯火就忘记了自己原来的方向。